Anterior bridgework on implants
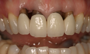
This 42-year-old lady came to us having anterior teeth that were very mobile and wobbly and very unattractive. These teeth had certainly failed because she couldn’t chew on them comfortably. Following detailed discussion and planning we decided to remove these teeth and replace them with implant supported bridgework.
The implants were then placed and a healing period of 10 to 12 weeks was observed. A temporary bridge was worn throughout this stage so at no stage did the lady have a smile without any anterior teeth. This also prevented her from having to wear a removable denture.
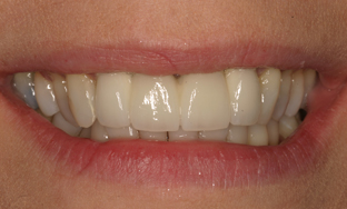
Once the implants were fully healed and bonded we placed bridgework, which you can see on the final result photo. This allowed her to smile normally and happily again. This not only restored the lady’s smile but also hugely improved her confidence.











