Full arch implant bridge
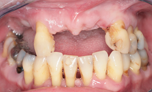
As you can see from the initial smile photograph, this lady came to us with very few teeth. Those which remained were mobile, painful and infected.
Careful detailed discussion and planning was carried out, during which the patient made it clear that she couldn’t face wearing removable dentures at any stage.
The teeth were removed and dental implants placed, maintaining a number of teeth throughout the healing phase so that temporary teeth could be used instead of temporary dentures.
The photograph shows the implant healed perfectly with a healthy gum around it.
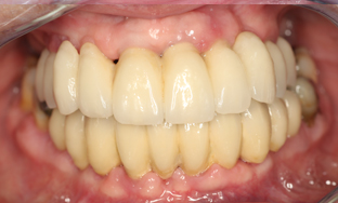
Once the upper arch implants were fitted she was able to eat and chew normally, so the lower arch was then carried out. As you can see from the final upper and lower bridges, this provided her with fixed teeth which look and feel like natural teeth and she is now able to talk, laugh and eat normally.











