Full arch implants
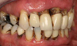
This lady came to us because her friends and family were saying that she was suffering from bad breath. As you can see from the initial photographs, she had bands of periodontal disease with lots of infected teeth and receded gums, with pus and infection throughout the mouth.
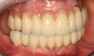
Over a period of two to four months, her mouth was fully healed mouth and dental implants were placed. A healing period of some 10 to 12 months was observed, during which time she was able to wear temporary teeth.
Once those implants were healed, a fixed bridge was placed. This avoided any coverage of the palate and allowed her to socialise and eat normally in restaurants with family and friends. She is delighted with the end result and we see her regularly for careful follow-ups.











