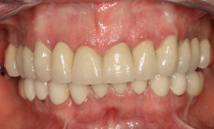
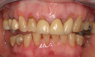
Full arch implants
This patient was very unhappy with her smile because the teeth were heavily worn down and fractured and she didn’t have enough back teeth to chew comfortably.
With dental implants at the back of the mouth, we were able to provide her with functional teeth which were solid and fixed. This eliminated any need for removable dentures, with crowns being used at the front of the mouth to stabilise, strengthen and improve the teeth. She is now seen on a regular basis for follow up to ensure that her mouth remains healthy.
She is delighted with the end result.











