Gum disease treatment
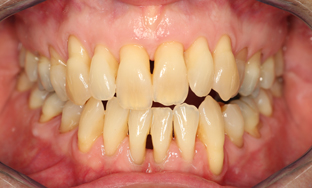
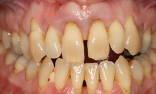
You can see how badly this lady’s gums were infected on the initial photograph. In addition to swollen gums she had a gap between the front teeth which had opened further in recent months and years. She suffered from a bad taste in her mouth and a persistently unpleasant odour. With treatment with the hygienist and surgical treatment from myself we were able to stabilise this, and achieve good healing in this lady’s mouth without extracting any teeth. Our work allowed the gums to fully heal as can be seen on the completion treatment. The patient’s gums have healed very healthily and her teeth have moved back into a good position, improving the appearance of the lady’s smile.
On review five years later, we were pleased to see how well these achievements were maintained, largely due to the careful follow-up which is so essential for these cases. The patient is delighted with the end result and has avoided losing any teeth.











