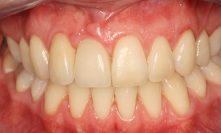
Single anterior implant
Our patient had a temporary bridge which can be seen on the ‘before’ photographs. This was very dark in appearance and frequently became detached, falling out at the most embarrassing moments. Her wish was for fixed teeth which looked and felt natural. We were able to place a single dental implant, also re-contouring the gums so that the overall appearance was very natural.
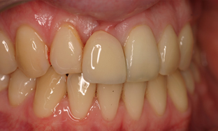
You can see on the ‘after’ photographs how well the gum harmonised with the implant, providing a beautiful result for the long term. She was delighted, and can now smile and laugh with confidence without worrying about the tooth falling out.











