Gingival grafting
Often recession can cause unsightly areas where the gum can look uneven and spoil a healthy smile, preventing patients from smiling and causing embarrassment.
In certain circumstances new gum can be grafted to correct the gum profile and restore the functional and cosmetic appearance.
This can be carried out under local anaesthesia following careful planning and requires skilful and detailed micro-surgical techniques
Adrian has been teaching these techniques for some years to post graduate dentists and has been carrying out this type of surgery for a selected group of patients restoring their smile.
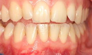
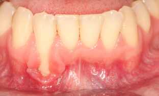
The lady in the photographs had the area of recession on the lower right of her mouth for some years, it was unsightly but more importantly very sensitive and risking the long term loss of this tooth.
Micro-surgical techniques were utilise to re- create the gum profile and long term follow up with the dental hygienist team ensures a long term result











